瓷贴面粘接的临床流程及操作要点
前言
在口腔美学修复领域,瓷贴面因牙体预备量少、美学效果佳等优点,已成为重塑前牙美观、改善患者笑容的重要方式之一。瓷贴面的粘接是其功能和美学效果的关键,粘接质量直接影响修复体的固位、边缘封闭和长期稳定性。因此,掌握并严格遵循规范化的瓷贴面粘接操作流程至关重要。该流程通常包括几个关键步骤:粘接前流程包括修复体的试戴与表面处理(如氢氟酸酸蚀、硅烷偶联)、严格的牙体表面清洁与预处理;正式粘接流程如粘接剂的选择与应用、精确的就位与多余材料去除、以及最终的光固化与精修抛光等步骤。下文将系统阐述瓷贴面粘接的详细规范化流程与操作要点。
01
瓷贴面粘接前流程
(一)试戴时就位顺序的考量
试戴时需系统性考虑修复体就位问题,就位问题又可以按修复体数量分阶段进行,总体目标是在试戴过程中确定修复体的就位道与就位顺序。
1.单颗修复体就位
单颗修复体就位时,注意试戴的方向要与预备就位道方向一致。贴面的就位方向可以分为唇舌向、切龈向或倾斜就位三种。这里需要考虑预备类型的影响。
开窗型:唇舌向就位或自由就位(无切端包绕,切龈向倒凹不影响就位)。
对接型:可实现唇舌向/切龈向双路径就位,而舌面浅凹型往往以切龈向就位为主。
包绕型:适用于切端平面与唇面成锐角的对接式预备,通常倾斜就位。[1]

A:开窗型 B:对接型 C:包绕型
图片来源:参考文献[2]
2.相邻修复体两两就位
多颗贴面修复体同时修复时,首先确定贴面单独就位无阻后,每对相邻的修复体共同试戴。这一步主要是检查相邻修复体之间的接触点,确保每对贴面可无阻力共同就位。对于存在挤压力量的接触点,可用薄咬合纸进行检查,邻接过紧时调磨抛光,过松则考虑返工。
3.多颗修复体整体就位
两两就位顺利无阻后,考虑所有修复体的共同就位。首先依次验证所有接触点协调性,尤其在基牙排列不齐时,多个贴面整体就位时可能存在接触点的挤压。其次确定就位顺序,一般按照美学优先级(如进行上颌前牙美学修复时,上颌中切牙最为重要,在正式粘接时先就位两个上颌中切牙,再是侧切牙,再顺序就位其他牙位。)进行选择,此外。接触点的状况也会对就位顺序造成影响。
修复体在基牙上就位后,应稳定无翘动。如果是无法就位到预想位置,或是修复体就位后仍有个别支点的翘动,可能是可能是预备体的个别点、线角不够圆润,存在尖锐部分,造成这些部位存在着高点。此时应检查后对这些点、线角进行抛光。

图:预备体抛光处理[1]

图:基牙点线角应圆润、光滑[1]
(二)试戴时的功能及美学评估
除了确定就位以外,试戴过程中还应考虑功能如边缘密合性以及咬合等,边缘密合性既是就位的重要指示标志,也是瓷贴面长期、健康地行使功能的基础。
咬合检查:正中咬合前后牙是否有广泛、均匀的接触,及侧方运动时引导牙的变化。
内部适合性:组织密合性与印模的制取、瓷贴面的制造工艺、牙体预备过程等多因素有关。
为了达到更好的组织密合,可以从两点入手:1.注重牙体预备过程中的抛光2.注意印模及工作模型的准确性。
此外,试戴过程中应注意修复体与基牙的整体美观性。修复体的中线不应出现严重的偏移,若原始牙中线有偏移,修复体应在此基础上给予矫正,而不是加重中线不齐的这种印象。

图:注意切外展隙与切角形态[1]
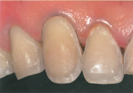
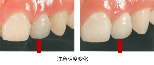
其次是颜色,应该明确的是,瓷贴面修复的最终颜色受到基牙、粘接树脂、修复体等多方面的影响;对于较薄的修复体来说,试色糊剂的颜色也对整体效果造成很大影响。可通过采用不同色号试色糊剂的衬垫,最终选择最满意的效果。

图:左图22的明度较低,经检查发现时由于试戴时的试色糊剂明度较低,右图换用了明度更高的试色糊剂,与邻牙的颜色相匹配。[1]
(三)修复体与基牙的分别处理
1、玻璃基陶瓷的粘接面处理
第一步是氢氟酸蚀刻。氢氟酸蚀刻是含玻璃相陶瓷处理的重要步骤。采用4%~10%的氢氟酸在口外酸蚀处理贴面组织面20~120 s 。市售氢氟酸的种类、浓度不同,应参考说明书确定具体酸蚀时间。处理后流水冲洗、吹干,可见表面呈白垩色。

图:采用4%~10%的氢氟酸在口外酸蚀处理贴面组织面20~120 s 处理后瓷表面形成微孔状结构。[3]
第二步为超声冲洗。使用“超声震荡机”,采用95%乙醇、丙酮或蒸馏水超声振荡清洗3~5分钟,并采用牙科三用枪吹干、无水乙醇涂擦、电吹风风干等方式将贴面彻底干燥。也有医师采用流水冲洗、水气混合冲洗等办法对瓷贴面冲洗,目的均为彻底去除酸蚀步骤中的残留氢氟酸,并暴露瓷表面的微孔结构。
第三步为硅烷化处理。该处理是是提高玻璃陶瓷粘接性能的另一项重要步骤。硅烷偶联剂是一类具有特殊结构的有机硅化合物,其分子两端分别含有可与无机材料(如陶瓷)和有机材料(如树脂)表面反应的活性基团。操作时,先将硅烷偶联剂作为预处理剂涂布于瓷贴面表面,随后再使用树脂粘接剂。涂布后,硅烷偶联剂发生水解,一端与玻璃陶瓷表面的羟基形成化学键,另一端则与有机树脂基质结合,从而在树脂与陶瓷之间建立牢固的化学键合。进行硅烷化处理时,使用小毛刷将偶联剂均匀涂擦于瓷表面,重复2~3次。每次涂擦后等待溶剂挥发或采用电吹风吹干,再进行下一次涂布。

图:硅烷偶联剂使用原理[1]


图:硅烷偶联剂使用方式[1]
第四步为粘接剂的应用。基牙准备完成,开始粘接操作之前,医生为贴面修复体的组织面应用瓷贴面粘接剂。瓷贴面粘接剂通常被称为“粘接系统”,因为它包含了酸蚀剂、预处理剂(底胶)和粘接树脂等多个组成部分。这一系统历经多代发展:从第四代和第五代的“酸蚀-冲洗型”粘接剂,逐步演进至第六代和第七代的“自酸蚀型”粘接剂,目前第八代产品也已问世。
酸蚀-冲洗型粘接剂中,酸蚀剂、预处理剂和粘接树脂是分步施加的独立组分,更适用于牙釉质粘接;而自酸蚀型粘接剂则通常将酸蚀与预处理功能合为一剂,再与粘接树脂联用,或进一步将所有成分整合为单一剂型,简化了临床操作步骤,更适用于牙本质粘接。此外,粘接剂的种类也应与瓷贴面材料及水门汀相配伍。

图:均匀覆盖待粘接面[1]
2、基牙的表面处理
按照经典的"酸蚀—冲洗—粘接"步骤处理牙面前,应首先做好隔湿管理,为贴面的粘接提供清洁干燥的环境。橡皮障、橡胶口撑(辅助开口器)、排龈、聚四氟乙烯薄膜隔离、口内干棉球及棉卷隔湿等均为临床常用方法。

图:排龈

图:开口器

图:聚四氟乙烯薄膜隔离基牙

图:橡皮障隔离基牙
上图均来源参考文献[1]
在充分隔离基牙后,进行基牙的酸蚀。由于贴面主要进行的是在牙釉质上的粘接,因此主要采用“全酸蚀”系统,即酸蚀——冲洗——吹干这一过程。数据证实,传统的三步全蚀刻粘合剂仍然表现最良好,在长期内是最可靠的。釉质酸蚀时间通常为15~30s;对于未预备的牙釉质,酸蚀时间需延长至60s,酸蚀后用大量水冲洗牙面至少10 s,吹干。酸蚀完成后,于预备体表面反复涂擦粘接剂20 s,吹薄,以利于粘接剂向牙体组织内渗透并促进粘接剂中溶剂的挥发。


图:基牙的酸蚀-冲洗过程[1]
02
瓷贴面的口内粘接
(一)树脂水门汀选择
在正式的粘接流程开始前,我们要进行粘接树脂水门汀的选择。选择要点有三:1.选择与全酸蚀系统搭配的水门汀。2.对于贴面建议使用纯光固化树脂水泥,以延长操作时间,有助于多余粘接剂的去除。3.树脂水门汀的颜色影响贴面的颜色及透光性,尤其是超薄贴面而言。可使用配套试色糊剂对颜色进行预估,或使用透明水门汀。

图:试色糊剂与树脂粘接水门汀对应色号对比[1]
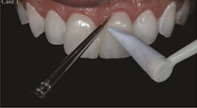
(二)瓷贴面的口内就位
瓷贴面就位良好的标准:贴面达到设计位置,贴面无翘动,瓷边缘与牙体组织边缘密合度达到要求。修复体就位后,医师可即刻用探针检查龈缘、切端的边缘线是否完全密合。边缘密合的状态下,常规探针无法探入;对于常规预备的瓷贴面来说,边缘通常会存在相应的“止点”,限制贴面的滑动,此时医生往往有比较明确的手感。结合肉眼观察贴面的(切端、颈部)边缘密合度是否达到要求,贴面是否位于术前设计位置。

图:对贴面进行适当加压[4]
从确认就位的角度来看,无预备或微创预备是最难的,其次是开窗式预备的贴面,而包绕式与对接式常在切端有明确的“就位止点”。

图片来源:参考文献[5]
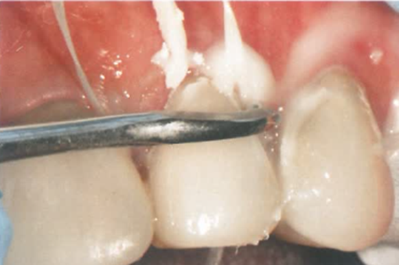
初步光照与多余树脂水门汀的初步去除:初步光固化的范围应为贴面正中央,
方式为短暂的点固化。此过程的目的主要有两个,一个是使得部分水门汀硬固,贴面得以稳定在牙面上,另一个是使得边缘的水门汀容易被去除。
在初步光固化后,使用牙线、毛刷、探针、手术刀片、手工刮治器等工具进行水门汀的初步去除。

图:专用于点固化的光固化灯[1]

图:使用工具进行水门汀的初步去除[1]
边缘封闭剂(阻氧剂)的应用与完全光照:边缘封闭剂是含细微硅填料的树脂,将封闭剂均匀涂布在边缘区域后进行完全光固化,原则上牙齿的每个面都要接受充足的光照。


图:充足、均匀的光固化[1]
03
瓷贴面粘接后处理
术后复查与功能评价
1.功能检查:检查贴面边缘完整性,测试患牙与邻牙的邻接关系 ,使用咬合纸或咬合记录仪测试咬合接触情况,肉眼观察贴面磨损情况,探诊修复体是否松动,用透照法检测是否存在贴面隐裂或折裂,询问患者是否满意。
2.美学评价:肉眼观察修复体表面光洁度、表面或边缘染色与否以及颜色匹配性、透光性和美学解剖外形。
3.生物学评价:进行牙周牙髓的检查,注意有无继发龋或牙龈炎症等。
4.患者满意度评价
此外,修复体需定期进行洁治、抛光,嘱患者做好口腔卫生维护,一周后、三个月各复查一次。
04
总体流程总结

图片来源:参考文献[6]
参考文献
[1]刘峰. 瓷贴面修复技术:从标准到微创无预备[M]. 北京:人民卫生出版社, 2017.
[2]谭建国. 牙体缺损微创修复的贴面类型和应用[J]. 中华口腔医学杂志,2020,55(07):515-518.
[3]CHEN J H, MATSUMURA H, ATSUTA M. Effect of different etching periods on the bond strength of a composite resin to a machinable porcelain[J]. Journal of Dentistry, 1998, 26(1): 53-58.
[4]MORITA R K, HAYASHIDA M F, PUPO Y M, et al. Minimally Invasive Laminate Veneers: Clinical Aspects in Treatment Planning and Cementation Procedures[J]. Case Reports in Dentistry, 2016, 2016: 1839793.
[5]Chai S Y, Bennani V, Aarts J M, et al. Incisal preparation design for ceramic veneers: A critical review[J]. The Journal of the American Dental Association, 2018, 149(1):25-37.
[6]中华口腔医学会口腔修复学专业委员会. 瓷贴面粘接技术操作规范[J]. 中华口腔医学杂志, 2020, 55(06): 373-377.





