宝鸡
请登录
免费注册
我的订单
我的浏览
我的收藏
客户服务
网站导航
特色主题
定制牙齿
促销活动
搜商品
搜店铺
全瓷
精密附件系列
正畸系列
店铺
我的购物车
0
购物车中还没有商品,赶紧选购吧!
全部商品分类
器械类
卫生预防
切削研磨
粘接材料
美学修复类
全瓷牙
技工类材料系列
主材类
辅材类
口腔护理系列
电动牙刷系列
医用口罩
车针类
其它类
首页
免责条款
网店信息
医生专区文章
患者专区文章
公司简介
文档帮助中心
搜索
文章分类列表
系统分类
免责条款
商城公告
新手指南
平台介绍
精品牙齿学堂
牙科小知识
公司简介
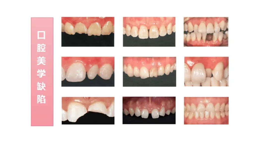
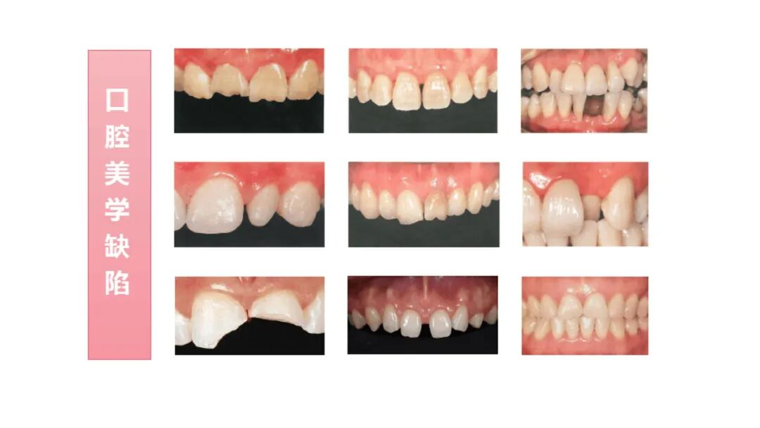
瓷贴面修复技术(教学课件)
精品牙齿学堂
>
瓷贴面修复技术(教学课件)
发表评论
*
内容:
上一篇:
闭口式终印模的制取细节要点
下一篇:
瓷贴面粘接的临床流程及操作要点